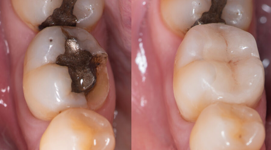
Keramikinlays
Ihr wünscht euch eine eine sehr hochwertige, dauerhafte und ästhetische Versorgung?
Dann sind für euch Keramikinlays die Zahnversorgung der Wahl, denn Sie sind Füllungen in ihren Eigenschaften deutlich überlegen.
Es handelt sich bei Keramikinlays um speziell auf den Zahndefekt im Labor hergestellte feste Einlagefüllungen die dann im Mund eingeklebt werden.
Die Vorteile sind:
-optimale Bioverträglichkeit, gegen Keramik sind keine Allergien bekannt
-hohe Ästhetik durch Transluzenz (Lichtdurchlässigkeit)
-optimale Gestaltung der Zahnzwischenräume
-zusätzliche Stabilisierung des Zahnes durch Adhäsive Verklebung
-dem eigenen Zahnmaterial vom Materialaufbau sehr ähnlich
-keine Verformung bei Kaubelastung
-hohe Langlebigkeit im Vergleich zu Füllungen
Nachteile:
-2 Sitzungen erforderlich
-höher Preis im Vergleich zu Füllungen

